Röntgenologische
Untersuchungen
HD - Hüftgelenksdysplasie
Bei der Hüftdysplasie oder Hüftgelenksdysplasie (HD) handelt es sich um eine Fehlbildung des Hüftgelenks, bei der die Hüftgelenkspfanne und der Oberschenkelkopf in ihrer Form nicht aufeinander abgestimmt sind. Die Fehlbildung kann in der Formanomalie des Oberschenkelkopfes und/oder der Hüftgelenkspfanne bestehen.
Die Ursache für eine HD ist multifaktoriell bedingt. Eine wichtige Grundlage liegt in der Erbanlage eines Hundes; falsche Ernährung und Haltung können die Entstehung und das Fortschreiten der Krankheit begünstigen.
Durch die übermäßige Lockerheit bzw. Instabilität des Hüftgelenks kommt es zu einer abnormen Beweglichkeit. Infolge dessen werden schmerzregistrierende Nervenfasern der Knochenhaut des Pfannenrandes gereizt und es kommt in der weiteren Folge zu reaktiven Veränderungen unter anderem an der Gelenkkapsel, am Oberschenkelkopf und am Oberschenkelhals.
Das Bild zeigt eine A1 Hüfte.
Die Symptome sind verschieden geartete Lahmheiten und Bewegungsstörungen. Durch die Schmerzen im Hüftgelenk versucht der Hund, die Hintergliedmaße zu entlasten. Er will nicht mehr weit laufen, setzt sich öfter hin, hat Mühe beim Aufstehen, lahmt in der Hinterhand, schreit beim Spielen gelegentlich auf und/oder zeigt einen instabilen Gang.
Spätestens dann ist der Besuch beim Tierarzt ratsam.
Spätestens dann ist der Besuch beim Tierarzt ratsam.
ED - Ellbogendysplasie
Die Ellenbogengelenksdysplasie (ED) ist ein chronisch verlaufender Krankheitskomplex des Ellenbogengelenks schnellwüchsiger Hunderassen. Die ED stellt eine vererbte Entwicklungsstörung des wachsenden Skeletts dar. Hohes Körpermassewachstum und Fütterungsfehler sind weitere begünstigende (prädisponierende) Faktoren. Die ED beginnt in der späten Wachstumsphase bei vier bis acht Monate alten Jungtieren mit einer schmerzhaften Veränderung des Gelenks und der gelenkbildenden Knochenteile (Osteoarthrose) mit Lahmheit. Der Bewegungsumfang des Ellenbogengelenks ist eingeschränkt. Frühzeichen sind Steifigkeit am Morgen oder nach Ruhepausen. Die Krankheit schreitet lebenslang fort und ist nicht heilbar, eine weitgehende Schmerzfreiheit kann aber in vielen Fällen erreicht werden.
Eine Ellbogendysplasie kann bei allen großwüchsigen Hunderassen auftreten. Die Häufigkeit des Auftretens beträgt bei einigen Rassen über 40 %.
Die ED wird polygenetisch (über mehrere Gene) vererbt. Der genaue Erbgang und die beteiligten Gene sind bislang nicht bekannt, so dass kein Gentest für die Erkrankung existiert. Der Nachweis kann daher bislang nur über die tierärztliche Beurteilung des Einzeltieres erfolgen, einige Hundezuchtverbände fordern eine Röntgenuntersuchung für Zuchttiere. Der Grad der Vererbbarkeit (Heritabilität) ist für Rüden größer als für Hündinnen und wird je nach Rasse und Population mit Werten zwischen 0,1 und 0,7 angegeben.
Die Röntgenbilder zeigen einen völlig gesunden Ellenbogen.
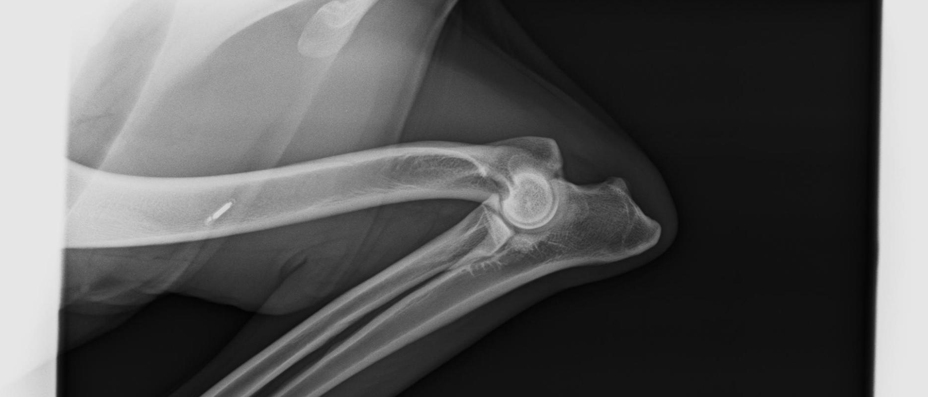
OCD der Schulter - Osteochondrosis dissecans
Bei einer OCD der Schulter kommt es zu einer Störung der Verknöcherung im Bereich des Oberarmkopfes, die in der Hälfte der Fälle an beiden Schultern auftritt. Betroffen von der OCD der Schulter sind vor allem Hunde großer Rassen, und hier mehr Rüden als Hündinnen.
Die ersten Lahmheiten treten meist schon mit vier bis acht Monaten auf, seltener erst mit zwei bis drei Jahren. Die Diagnose wird röntgenologisch gestellt. Ob chirurgisch oder konservativ therapiert werden sollte, wird heutzutage noch kontrovers diskutiert und ist nur individuell für den jeweiligen Patienten zu beantworten.
Eine Osteochondrose ist eine Störung der Umwandlung von Knorpel zu Knochen im Wachstum, „dissecans“ heißt „zerschneidend“. Bei der OCD führt dies zum Absterben von Knochengewebe direkt unterhalb des – gesunden - Gelenkknorpels. Erst als Folgeerscheinung der Knochen-zersetzung kommt es später auch zu Schädigungen des Gelenknorpels. Die OCD tritt bei Hunden v.a. in der Schulter auf, ist aber auch in anderen Gelenken – z.B. im Ellbogengelenk – möglich.
Das Bild zeigt eine OCD freie Schulter.





